
오늘날씨 전국 영하권 추위 지속… 일부 지역 최대 10cm 눈 예보
2023-11-18
내일 날씨 패딩 꺼내야 하나…토요일 전국 대부분 영하권

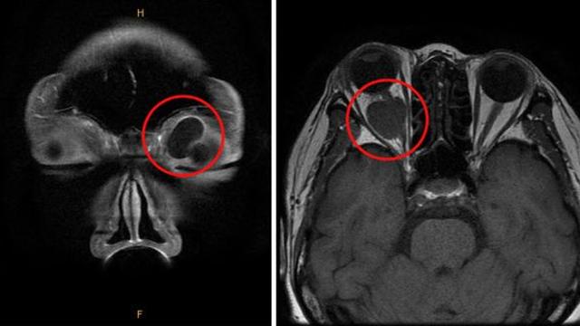
눈 주변에 생기는 종양, ‘안와 양성 종양’ 종류와 치료법은

넷마블 세븐나이츠 키우기, 신규 레전드 등급 영웅 3종 업데이트 실시

KG 모빌리티, 푸타 그룹과 베트남 시장 전략적 협력 방안 모색

지스타2023 부산 벡스코서 16일 개막… 역대 최대 규모

전통과 현대적인 요소가 한꺼번에…배그, 오는 12월 6일 신규 맵 ‘론도’ 열려

올해 국내 승용차 구매자 10명 중 3명은 친환경차 샀다

강원 오늘16일 날씨 흐리고 비…산간엔 비와 눈 섞여

쌈디·장도연·이승훈 태계일주3도 함께 한다…오늘17일 미리보기 최초 공개
